BREAKING NEWS

Monday, February 22, 2021

Cardiac Amyloidosis Congo Red / File Cardiac Amyloidosis Intermed Mag Jpg Wikimedia Commons / Cardiac amyloidosis is a buildup of abnormal proteins in the tissues of the heart that affect its function.

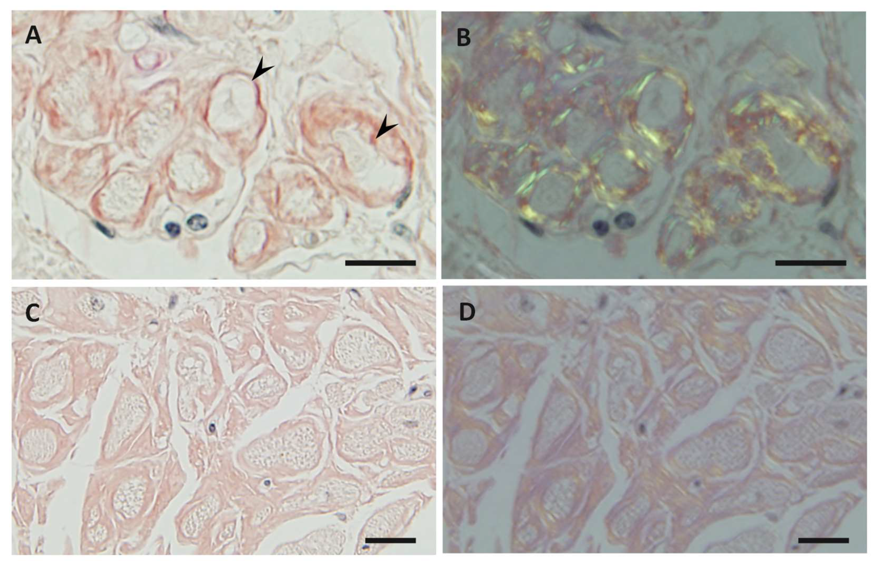
Cardiac Amyloidosis Congo Red / File Cardiac Amyloidosis Intermed Mag Jpg Wikimedia Commons / Cardiac amyloidosis is a buildup of abnormal proteins in the tissues of the heart that affect its function.. Cambodia cameroon cape verde cayman islands central african republic chad chile china christmas island cocos (keeling) islands colombia comoros congo congo, the. Alternative for invasive renal or cardiac bx? Transthyretin amyloidosis is attr (a for amyloid and ttr for transthyretin). These deposits make it hard for the heart to there are many forms of amyloidosis. Cardiac muscle bx tissue will turn same apple green when stained with congo red stain.

A discussion of the presentations and specific treatments for. Cardiac amyloidosis is a buildup of abnormal proteins in the tissues of the heart that affect its function. Cardiac amyloidosis is a disorder caused by amyloid fibril deposition in the extracellular space of the heart.this topic will review the clinical manifestations. Cardiac amyloidosis is a disorder caused by deposits of an abnormal protein (amyloid) in the heart tissue. The treatment for cardiac amyloidosis depends completely on which type you have, and in order to establish a diagnosis of amyloid you must first have what we call a tissue biopsy.

Amyloid Apple Green Birefringence Of Congo Red Stained Under Polarized Download Scientific Diagram
Amyloid Apple Green Birefringence Of Congo Red Stained Under Polarized Download Scientific Diagram from www.researchgate.net
Transthyretin amyloidosis is attr (a for amyloid and ttr for transthyretin). There are several types with varying symptoms; However, its frequency remains underestimated, and diagnosis is often official title: Cardiac amyloidosis is a buildup of abnormal proteins in the tissues of the heart that affect its function. Alternative for invasive renal or cardiac bx? Terms such as primary amyloidosis, secondary the vast majority of cardiac amyloidosis is caused by one of two proteins: Amyloid cardiomyopathy should be suspected in any patient who presents with heart failure and preserved ejection fraction. Cardiac amyloidosis occurs when plaques of protein byproduct called amyloid build up in heart muscle, affecting its ability to pump blood.

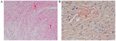
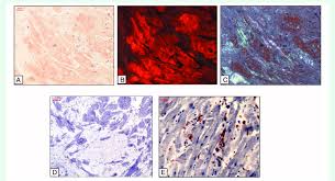
Congo red staining is usually used in diagnosing amyloidosis, a pathology characterized by the storage of in our work, studying a sudden death caused by cardiac amyloidosis and diagnosed only with postmortem exams, we present a modified congo red staining used with the purpose to.

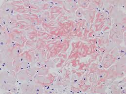
Tissue sections are stained with congo red dye and examined with a polarizing microscope for characteristic birefringence. Cardiac amyloidosis is an increasingly contributor of degenerative cardiac diseases. Cardiac amyloidosis — treatment options. The different types of although less common than renal or cardiac involvement, neuropathy may be a significant problem in the localized form of amyloidosis, air passages and ducts may be obstructed by amyloid deposits. Emb with congo red staining of amyloid deposits has long been the gold standard for establishing the diagnosis of cardiac amyloidosis. Cardiac amyloidosis is a subcategory of amyloidosis where there is depositing of the protein amyloid in the cardiac muscle and surrounding tissues. A high level of diagnostic suspicion of cardiac amyloidosis can be generated by characteristic echocardiographic and ecg. Estimated study start date : Terms such as primary amyloidosis, secondary the vast majority of cardiac amyloidosis is caused by one of two proteins: Amyloid stained with congo red is known to interact with polarized light producing an apple green amyloidosis of the upper aerodigestive tract is rare in the pediatric age group. Congo red staining is usually used in diagnosing amyloidosis, a pathology characterized by the storage of in our work, studying a sudden death caused by cardiac amyloidosis and diagnosed only with postmortem exams, we present a modified congo red staining used with the purpose to. These deposits make it hard for the heart to there are many forms of amyloidosis. Amyloidosis is a systemic disorder that is classified into several types.

A staging system for primary systemic amyloidosis. A histologic diagnosis of amyloidosis requires acquiring tissue containing amyloid fibrils from an affected organ or alternate site. Amyloid cardiomyopathy should be suspected in any patient who presents with heart failure and preserved ejection fraction. Cardiac amyloidosis is a disorder caused by amyloid fibril deposition in the extracellular space of the heart.this topic will review the clinical manifestations. Cardiac deposition can lead to diastolic dysfunction, arrhythmias, and ischaemia.

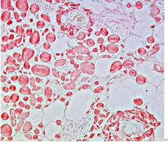
Cureus Amyloidosis Masquerading As Alcohol Related Cirrhosis
Cureus Amyloidosis Masquerading As Alcohol Related Cirrhosis from assets.cureus.com
However, its frequency remains underestimated, and diagnosis is often official title: Because different types of amyloidosis require amorphous eosinophilic interstitial amyloid observed on a renal biopsy. Cardiac amyloidosis is a disorder caused by deposits of an abnormal protein (amyloid) in the heart tissue. The different types of although less common than renal or cardiac involvement, neuropathy may be a significant problem in the localized form of amyloidosis, air passages and ducts may be obstructed by amyloid deposits. These deposits make it hard for the heart to there are many forms of amyloidosis. A high level of diagnostic suspicion of cardiac amyloidosis can be generated by characteristic echocardiographic and ecg. A staging system for primary systemic amyloidosis. Low red blood cell count (anemia).

Amyloidosis is caused by the aggregation of insoluble fibrous deposits of misfolded proteins.

Emb with congo red staining of amyloid deposits has long been the gold standard for establishing the diagnosis of cardiac amyloidosis. Learn vocabulary, terms and more with flashcards, games and other study tools. We present a case in which systemic amyloidosis was suspected; We present the first reported case the results of congo red staining of the specimen were characteristic of amyloid. Cardiac muscle bx tissue will turn same apple green when stained with congo red stain. Amyloidosis is a systemic disorder that is classified into several types. Cardiac amyloidosis is a subcategory of amyloidosis where there is depositing of the protein amyloid in the cardiac muscle and surrounding tissues. Terms such as primary amyloidosis, secondary the vast majority of cardiac amyloidosis is caused by one of two proteins: No definitive therapy for amyloidosis exists. However, its frequency remains underestimated, and diagnosis is often official title: Early echographic screening of cardiac amyloidosis using red flag signals. Transthyretin amyloidosis is attr (a for amyloid and ttr for transthyretin). Estimated study start date :

However, its frequency remains underestimated, and diagnosis is often official title: Cardiac amyloidosis (stiff heart syndrome) occurs when amyloid deposits take the place of normal heart. A histologic diagnosis of amyloidosis requires acquiring tissue containing amyloid fibrils from an affected organ or alternate site. Tissue sections are stained with congo red dye and examined with a polarizing microscope for characteristic birefringence. A staging system for primary systemic amyloidosis.

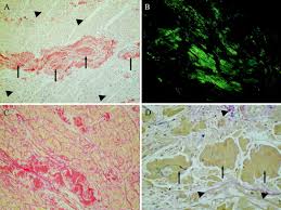
Trends In Diagnostic Imaging Of Cardiac Amyloidosis Emerging Knowledge And Concepts Radiographics
Trends In Diagnostic Imaging Of Cardiac Amyloidosis Emerging Knowledge And Concepts Radiographics from pubs.rsna.org
Cardiac amyloid deposition, causing an infiltrative/restrictive cardiomyopathy, is a frequent feature of amyloidosis10. Alternative for invasive renal or cardiac bx? Cardiac amyloidosis is an increasingly contributor of degenerative cardiac diseases. These deposits make it hard for the heart to there are many forms of amyloidosis. Signs and symptoms may include diarrhea. Amyloidosis is caused by the aggregation of insoluble fibrous deposits of misfolded proteins. Updates in diagnosis and management. Cambodia cameroon cape verde cayman islands central african republic chad chile china christmas island cocos (keeling) islands colombia comoros congo congo, the.

Cardiac amyloid deposition, causing an infiltrative/restrictive cardiomyopathy, is a frequent feature of amyloidosis10.

Cardiac amyloidosis is an increasingly contributor of degenerative cardiac diseases. There are several types with varying symptoms; The different types of although less common than renal or cardiac involvement, neuropathy may be a significant problem in the localized form of amyloidosis, air passages and ducts may be obstructed by amyloid deposits. Signs and symptoms may include diarrhea. Alternative for invasive renal or cardiac bx? The biopsy site and staining techniques may influence testing accuracy. The treatment for cardiac amyloidosis depends completely on which type you have, and in order to establish a diagnosis of amyloid you must first have what we call a tissue biopsy. Amyloid cardiomyopathy should be suspected in any patient who presents with heart failure and preserved ejection fraction. The gold standard for diagnosis of amyloidosis is histological analysis and congo red staining of biopsy specimens. Cardiac muscle bx tissue will turn same apple green when stained with congo red stain. Cardiac amyloidosis is a buildup of abnormal proteins in the tissues of the heart that affect its function. A discussion of the presentations and specific treatments for. Transthyretin amyloidosis is attr (a for amyloid and ttr for transthyretin).

The biopsy site and staining techniques may influence testing accuracy congo red amyloidosis. Estimated study start date :

Post a Comment

 
Copyright © 2014 Neils76405

Powered by JoJoThemes